Bệnh xơ gan
Xơ gan là 1 bệnh gan mạn tính được đặc trưng bởi sự thay thế mô gan bằng mô xơ, sẹo và sự thành lập các nốt tân sinh dẫn đến mất...
Xơ gan là 1 bệnh gan mạn tính được đặc trưng bởi sự thay thế mô gan bằng mô xơ, sẹo và sự thành lập các nốt tân sinh dẫn đến mất chức năng gan.

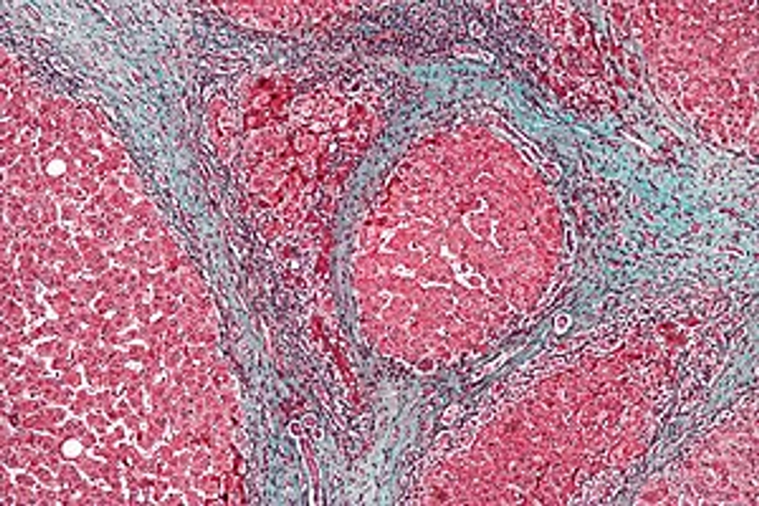
Ảnh vi mô cho thấy sơ gan
Nguyên nhân
Các nguyên nhân dẫn đến xơ gan:
- Viêm gan do virus
- Nhiễm bệnh hấp huyết trùng
- Dinh dưỡng kém
- Nghiện rượu
- Suy tim
- Viêm xơ háo đường mật nguyên phát
...
Triệu chứng
Trong thời kì đầu, xơ gan thường không có triệu chứng, về sau tùy thuộc từng mức độ có các biểu hiện của hội chứng suy tế bào gan, hội chứng tăng áp lực tĩnh mạch cửa, bệnh nhân mệt mỏi, kém ăn, vàng da, da sạm, dễ chảy máu cam, chảy máu chân răng, phù, ngứa ngáy, cổ trướng, suy giảm chức năng tình dục..., nặng hơn có những triệu chứng của biến chứng như nôn ra máu và đi ngoài phân đen do vỡ giãn tĩnh mạch thực quản, hôn mê gan, suy thận, các biểu hiện nhiễm khuẩn hoặc do xơ gan ung thư hóa...
Phương pháp điều trị
Loại bỏ những nguyên nhân có thể làm bệnh diễn tiến chậm lại. Nếu tổn thương không quá nặng, gan có thể tự lành theo thời gian. Nếu có thể thì bệnh nhân có thể cấy ghép gan.
Các thuốc chống xơ hóa khác đang được nghiên cứu. Silymarin, có trong cây kế sữa, là một loại thuốc thay thế phổ biến dùng để điều trị xơ gan. Nó có vẻ an toàn (trừ khi kết hợp với một số loại thuốc điều trị viêm gan C) nhưng không có hiệu quả.
Cách phòng ngừa
Cách để phòng ngừa căn bệnh này:
- Hạn ché bia rượu
- Tiêm phòng các loại vaccine virus viêm gan B, C, D
Các phương pháp trên là những phương pháp tối thiểu, khi đã bị viêm gan, người mắc cần kiểm tra định kì để phát hiện và điều trị sớm. Còn khi đã chuẩn đoán bị xơ gan, cần kiểm soát, theo dõi và điều trị nguyên nhân dẫn tối xơ gan.

Science2vn
/science2vn
Bài viết nổi bật khác
- Hot nhất
- Mới nhất

